Calle de Salvador Allende, 7 28054 Madrid

Autobús 35, 135, 118, E1 Metro: La Peseta (linea 11)

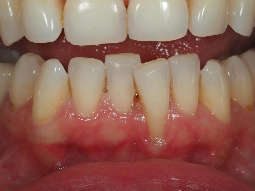
Recesión Gingival Madrid

Recesión Gingival Madrid

En este artículo, exploraremos el tema de las recesiones gingivales y proporcionaremos información sobre qué son, por qué ocurren y cómo se pueden tratar. También compartiremos consejos prácticos para prevenir y cuidar las recesiones gingivales, así como recomendaciones sobre cómo actuar si ya se tiene una recesión gingival.

¡Sigue leyendo para descubrir todo lo que necesitas saber sobre este problema dental!

¿Qué son las Recesiones Gingivales y Por qué Ocurren?

La recesion gingival es una condición de la encía en la que ésta se muestra retraída dejando expuesta la raíz del diente.

Esto puede ocurrir por varias razones:

  • El cepillado dental demasiado agresivo
  • Malposición del diente
  • Un trauma oclusal
  • Tabaco
  • Piercings
  • Enfermedad periodontal como Gingivitis y Periodontitis
  • Condiciones genéticas o enfermedades autoinmunes
  • El bruxismo
  • El uso incorrecto de hilo dental.

Las recesiones gingivales pueden ser dolorosas y sensibles, además de afectar la apariencia estética de la sonrisa. Es importante tratarlas adecuadamente para evitar complicaciones como la sensibilidad dental y la pérdida de dientes.

Si tienes una recesión gingival, es recomendable consultar a un dentista para determinar la causa subyacente y recibir un tratamiento adecuado que puede incluir desde limpiezas profesionales hasta injertos de tejido gingival.

Tratamientos Efectivos para Combatir las Recesiones Gingivales

El tratamiento va en función de la situación de cada paciente. Existen varios tratamientos efectivos para combatir las recesiones gingivales y restaurar la salud de las encías.

  • Tratamiento periodontal básico: Se hace cuando la encía se encuentre inflamada, sangrante o presente sarro en el surco gingival. Se realiza un raspado y alisado radicular de la raíz para eliminar el sarro y conseguir la desinflamación de la encía.
  • Injerto de tejido blando: Una vez la encía este desinflamada y el control de la higiene por parte del paciente sea la adecuada, entonces se puede plantear este tratamiento. Se puede plantear realizar injertos de encía para cubrir la recesión total o parcialmente.

No todas las recesiones se pueden tratar con éxito, es fundamental un estudio del caso para predecir si es un caso favorable o no.

Es importante consultar a un periodoncista para determinar cuál es el mejor tratamiento según cada caso específico.

¿Debo Realizar Controles Periódicos?

Tanto si tu recesión es candidata a realizar un injerto, como si no lo es, va a ser necesario realizar revisiones de la misma.

En estas revisiones se realizarán sondajes de la encía (mediciones), así como fotografías, para tener un control objetivo sobre cómo esta evolucionando la recesión.

Consejos Prácticos para Prevenir y Cuidar las Recesiones Gingivales

Para prevenir y cuidar las recesiones gingivales, es importante adoptar hábitos de higiene bucal adecuados.

En primer lugar, es fundamental cepillarse los dientes dos veces al día con un cepillo de cerdas suaves y una pasta dental fluorada. Además, se recomienda utilizar hilo dental diariamente para eliminar la placa bacteriana que se acumula entre los dientes y en la línea de las encías.  Evitar el consumo excesivo de alimentos y bebidas ácidas también puede ayudar a proteger las encías. Asimismo, es importante evitar el tabaco, ya que fumar puede debilitar el tejido gingival.

Por último, es recomendable visitar regularmente al dentista para realizar limpiezas profesionales y evaluaciones periódicas de la salud bucal.

En resumen, las recesiones gingivales son un problema común que afecta a muchas personas. Conocer las causas, los tratamientos y las medidas preventivas es fundamental para mantener una buena salud bucal. 

Ponte en contacto con nosotros 

En la clínica del Dr.Tomás Hernán somos especialistas en recesión gingival en Madrid. No dudes en ponerte en contacto con nosotros en el número +34 915 113 521 o en info@tomashernan.com. Nos encontramos en Carabanchel para atender todas tus dudas.

Clínica Dental Carabanchel | Dr. Tomás Hernán
Resumen de privacidad

Esta web utiliza cookies para que podamos ofrecerte la mejor experiencia de usuario posible. La información de las cookies se almacena en tu navegador y realiza funciones tales como reconocerte cuando vuelves a nuestra web o ayudar a nuestro equipo a comprender qué secciones de la web encuentras más interesantes y útiles.