
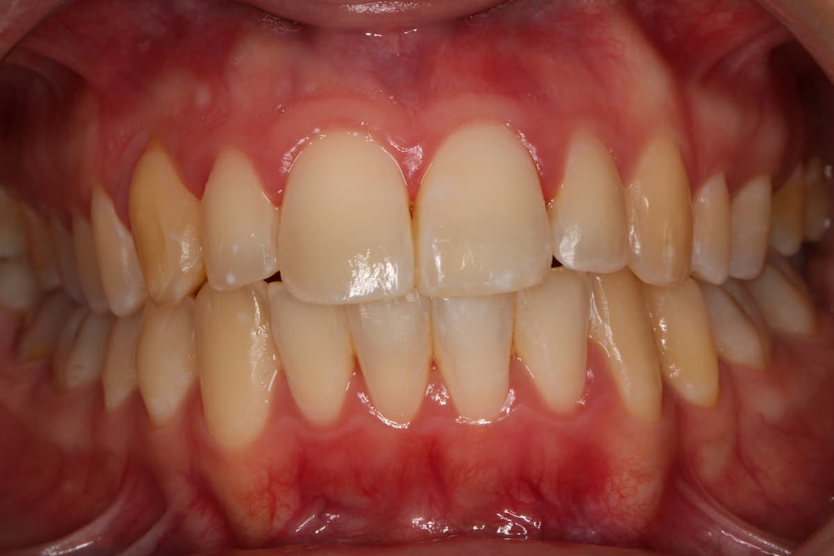
El Dr. Tomás Hernán asiste al Meeting de la GNYAP en Nueva York
Elegir una Clínica Dental en Carabanchel es una decisión que debe basarse en la confianza y la calidad profesional. La asistencia del Dr. Tomás Hernán al Meeting de la GNYAP en Nueva York refleja nuestra vocación por ofrecer una odontología moderna, cercana y al nivel de los mejores centros internacionales.


