Casos Clínicos
Ortodoncia Carabanchel

En esta sección vamos a ir publicando algunos de los casos clínicos de Ortodoncia Carabanchel, tratamientos realizados en nuestra clínica dental por la Dra. Andrea Díaz Cabeza, pudiendo de esta forma ver algunos resultados, experiencias y mejoras que ya han disfrutado nuestros pacientes. Tu salud bucodental es importante para nosotros y, por eso, te proporcionamos atención odontológica de calidad, profesional y cercana de la mano de las manos de las Dras. Andrea Díaz y Giorgina Mora.

Casos de Ortodoncia

Tratamiento de ortodoncia

Tratamiento Ortodoncia invisible

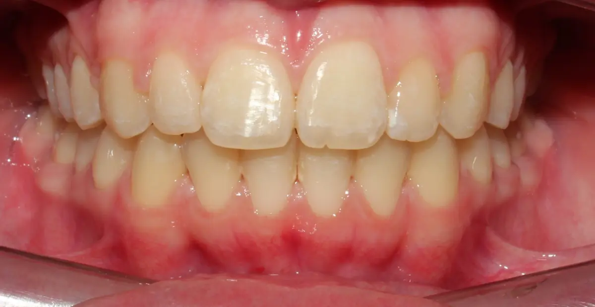
Después Después
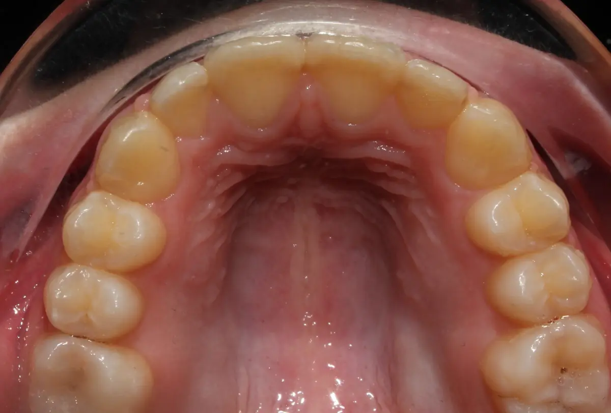
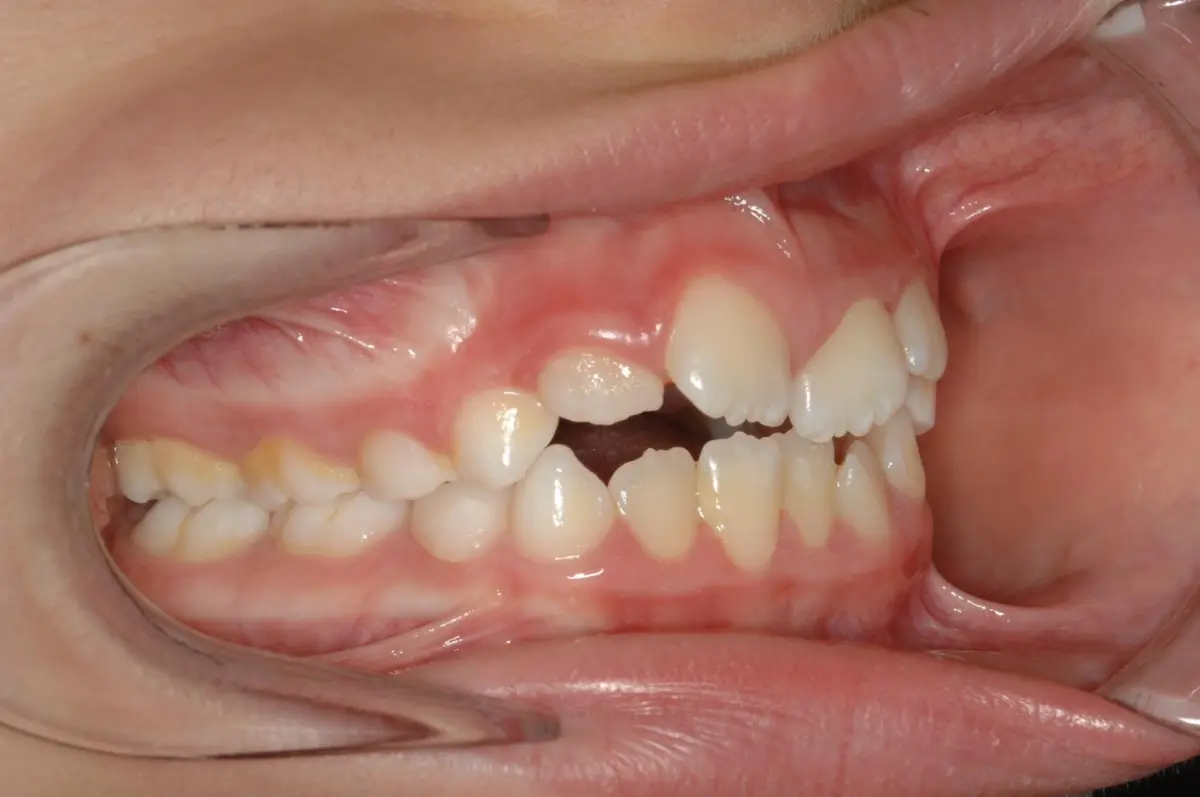
Antes Antes

La mordida cruzada puede causar desgaste dental, enfermedad periodontal y molestias en la articulación temporomandibular.

Tratamiento de ortodoncia

Tratamiento Ortodoncia invisible para casos leves

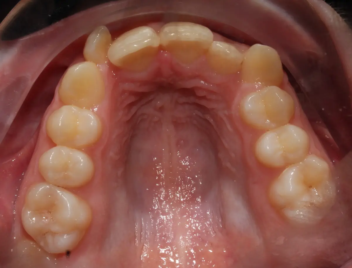
Después Después
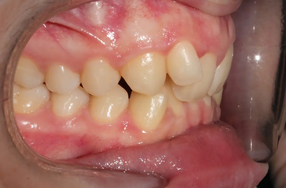
Antes Antes

La modalidad básica de la ortodoncia invisible con alineadores transparentes está indicada para corregir pequeñas malposiciones dentales en pacientes adultos.

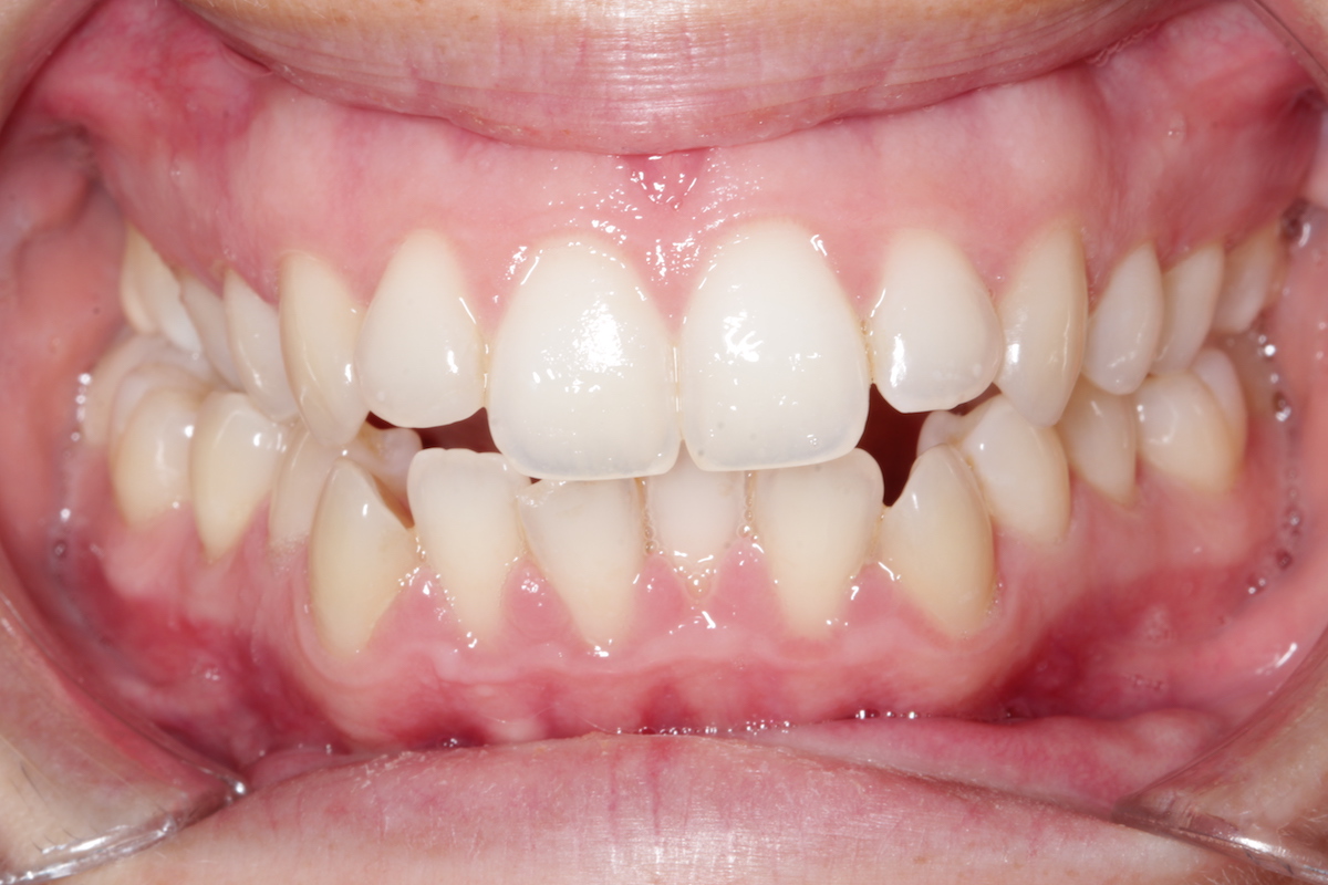
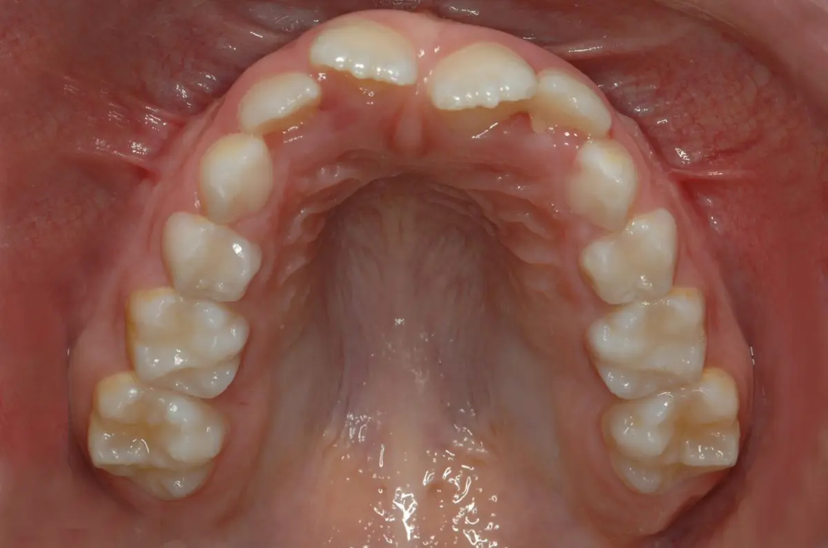
Tratamiento de ortodoncia

Tratamiento Ortodoncia invisible infantil

La primera fase del tratamiento de ortodoncia, también conocido como tratamiento interceptivo, se lleva a cabo cuando aún hay presencia de dientes de leche y se inicia el recambio de los primeros dientes definitivos.

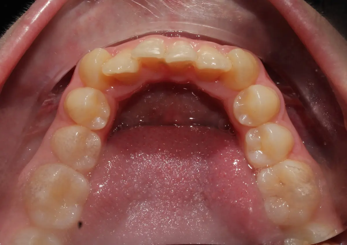
Después Después
Antes Antes
Después Después
Antes Antes
Después Después
Antes Antes

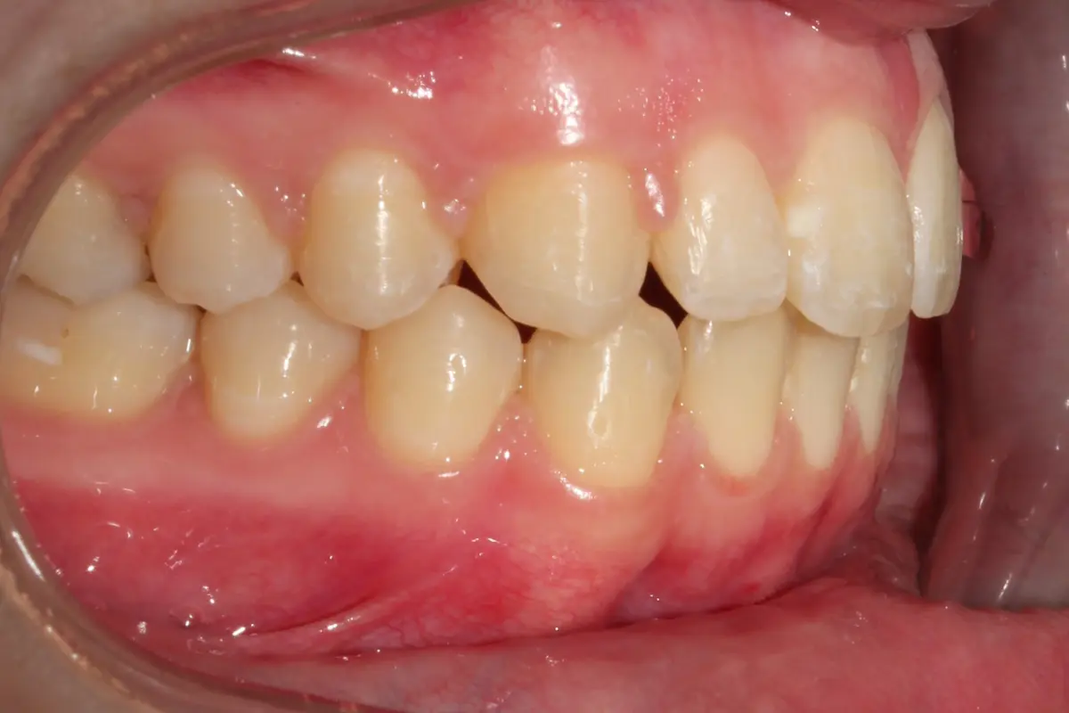
Tratamiento de ortodoncia

Tratamiento Ortodoncia invisible completa para casos complejos

Dentro de los tratamientos de ortodoncia invisible con alineadores transparentes, la modalidad más completa se utiliza para tratar los casos que requieren el movimiento de todos los dientes de la arcada.
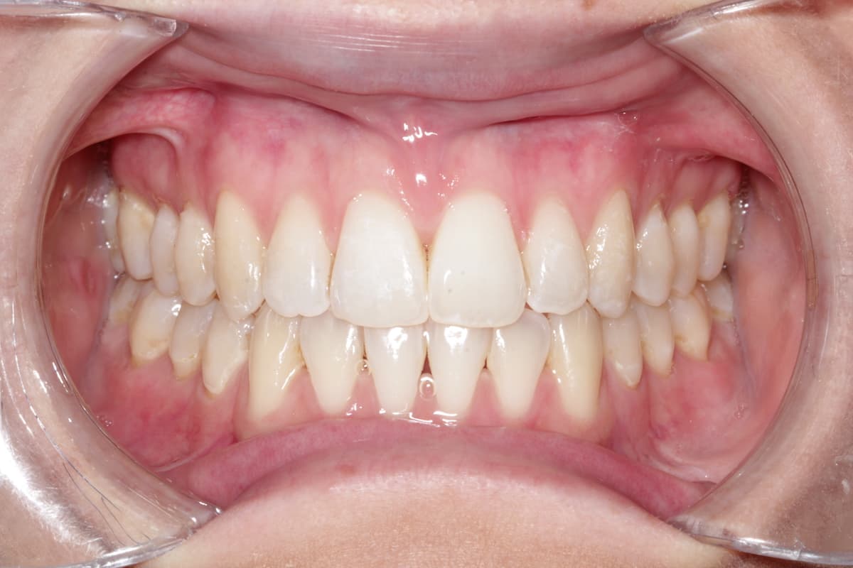
Después Después
Antes Antes
Después Después
Antes Antes
Después Después
Antes Antes
Después Después
Antes Antes
1
Resumen de privacidad

Esta web utiliza cookies para que podamos ofrecerte la mejor experiencia de usuario posible. La información de las cookies se almacena en tu navegador y realiza funciones tales como reconocerte cuando vuelves a nuestra web o ayudar a nuestro equipo a comprender qué secciones de la web encuentras más interesantes y útiles.