Casos clínicos de
Rehabilitación oral en Carabanchel

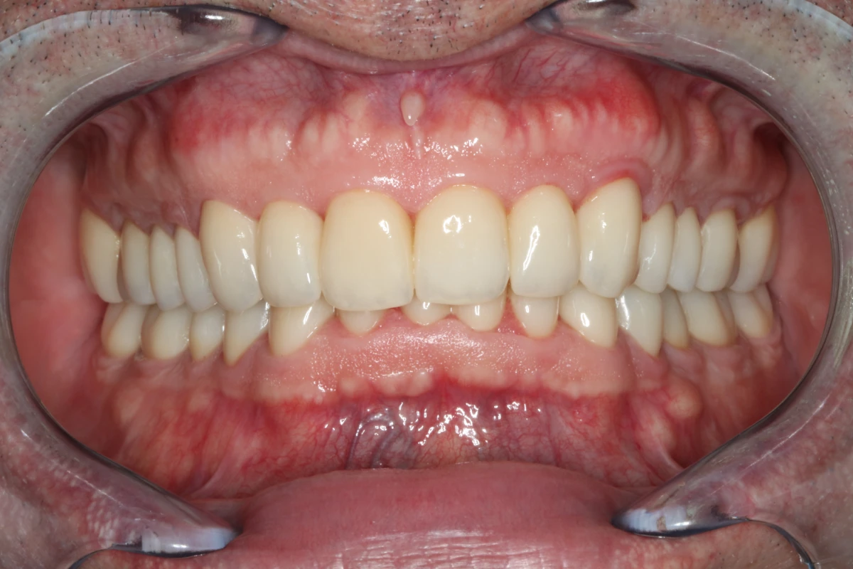
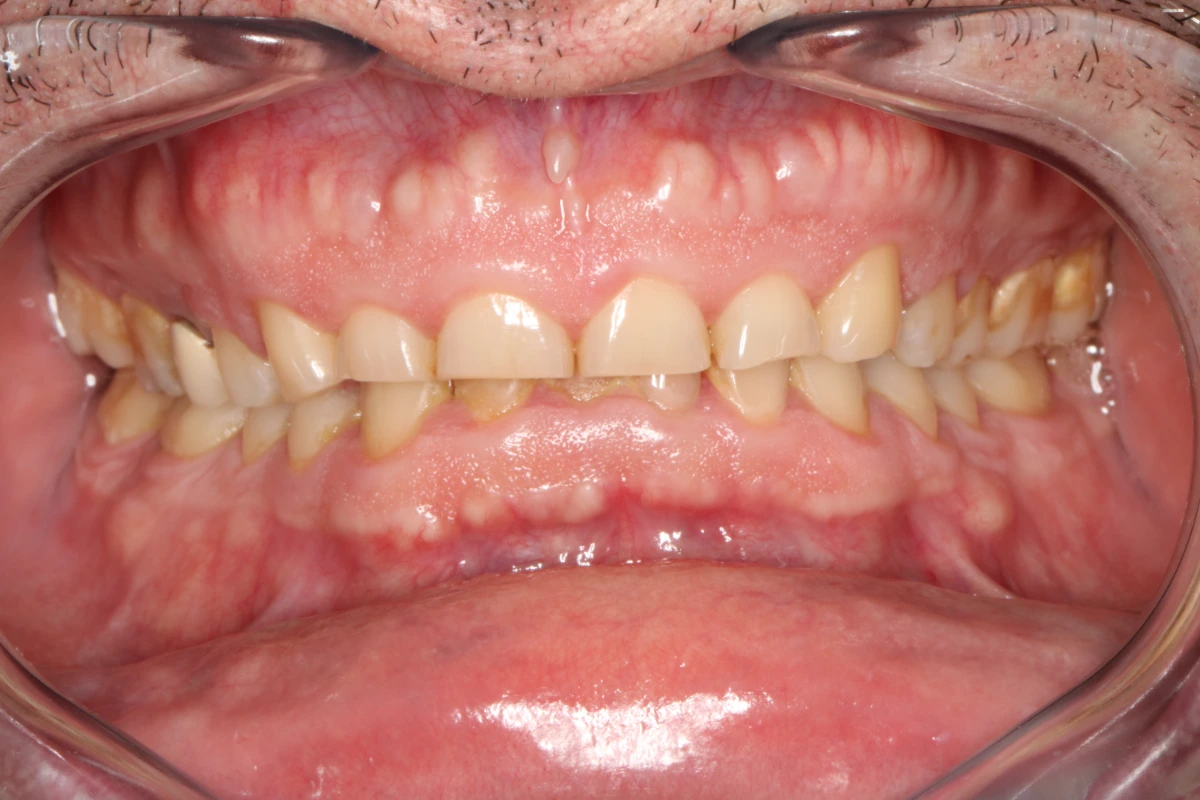
Los casos clínicos de Rehabilitación Oral en la Clínica del Dr. Tomás Hernán muestran soluciones personalizadas para recuperar función, estética y salud bucodental, mediante diagnóstico integral, tecnología de precisión y un enfoque médico orientado a resultados naturales y duraderos.

La rehabilitación oral permite reemplazar la estructura dental perdida con precisión y seguridad. En la Clínica del Dr. Tomás Hernán, los casos clínicos reales reflejan tratamientos personalizados, planificación avanzada y tecnología de vanguardia para recuperar función y estética con resultados duraderos.

rehabilitacion oral carabanchel
rehabilitacion oral carabanchel
rehabilitacion oral carabanchel
rehabilitacion oral carabanchel
Después Después
Antes Antes
Después Después
Antes Antes
1
Resumen de privacidad

Esta web utiliza cookies para que podamos ofrecerte la mejor experiencia de usuario posible. La información de las cookies se almacena en tu navegador y realiza funciones tales como reconocerte cuando vuelves a nuestra web o ayudar a nuestro equipo a comprender qué secciones de la web encuentras más interesantes y útiles.