Casos Clínicos
Estética dental Carabanchel

En esta sección iremos compartiendo casos clínicos de estética dental realizados en nuestra clínica en Carabanchel. Podrás conocer resultados reales, experiencias y mejoras que ya han vivido nuestros pacientes. Cuidamos tu salud bucodental ofreciendo una atención profesional y tratamientos de alta calidad orientados a lograr sonrisas naturales y armónicas.

Casos de Estética dental

Tratamiento de odontología

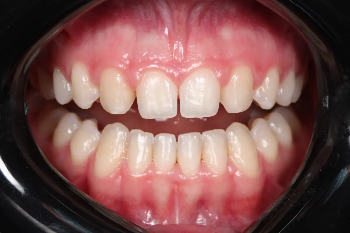
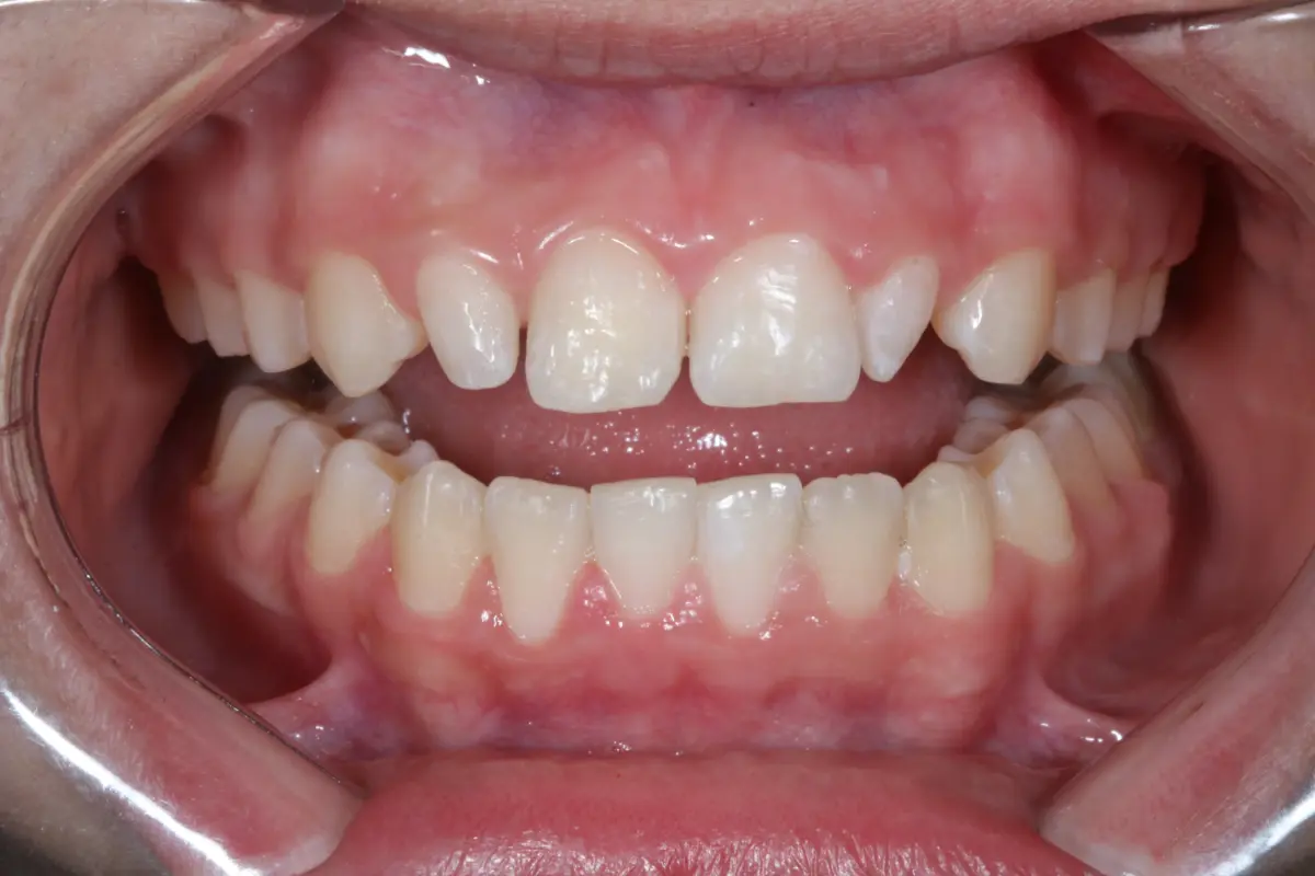
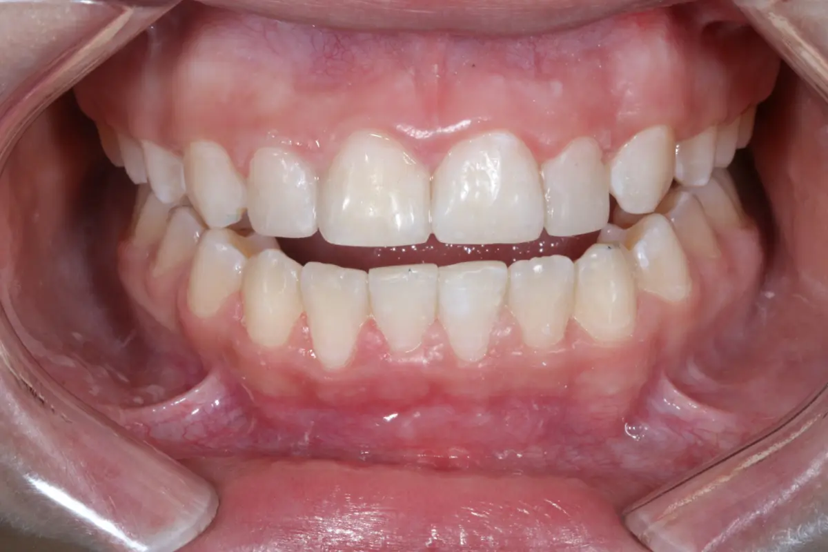
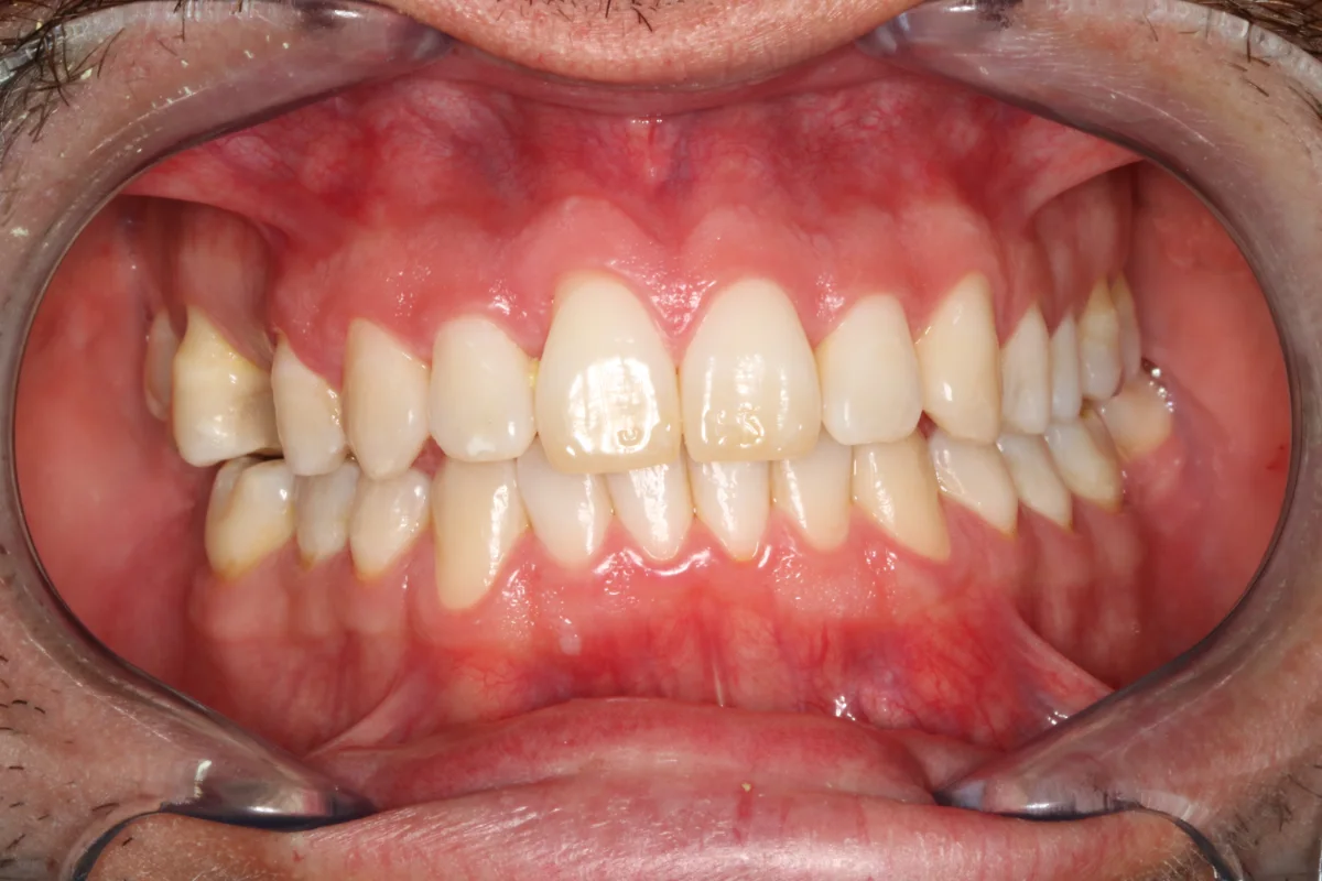
Blanqueamiento​

El blanqueamiento dental es un tratamiento de odontología estética que tiene por objetivo eliminar las manchas dentales y hacer que la dentición adquiera una tonalidad más blanca y brillante.

Después Después
Antes Antes
Después Después
Antes Antes

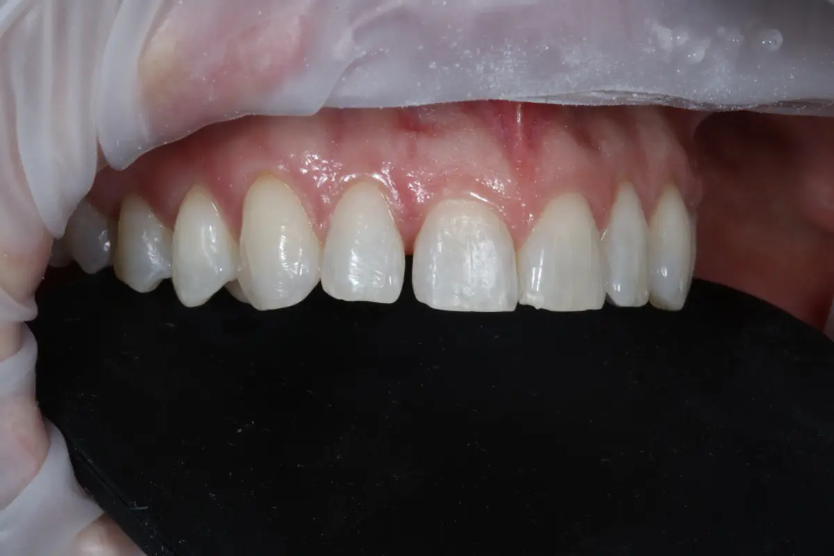
Tratamiento de Estética Dental

Carillas Cerámicas

Después Después
Antes Antes

Las carillas cerámicas permiten mejorar la forma, el color y la estética de los dientes, corrigiendo defectos visibles y logrando una sonrisa más armoniosa y natural. Además, ofrecen alta resistencia, durabilidad y estabilidad del color a largo plazo.

Tratamiento de Estética Dental

Carillas Composite

Después Después
Antes Antes

Las carillas de composite mejoran la forma, el color y la estética de los dientes mediante un material moldeable aplicado directamente en clínica, logrando resultados rápidos y naturales. Además, permiten corregir pequeñas imperfecciones con un tratamiento mínimamente invasivo y más económico que otras opciones.

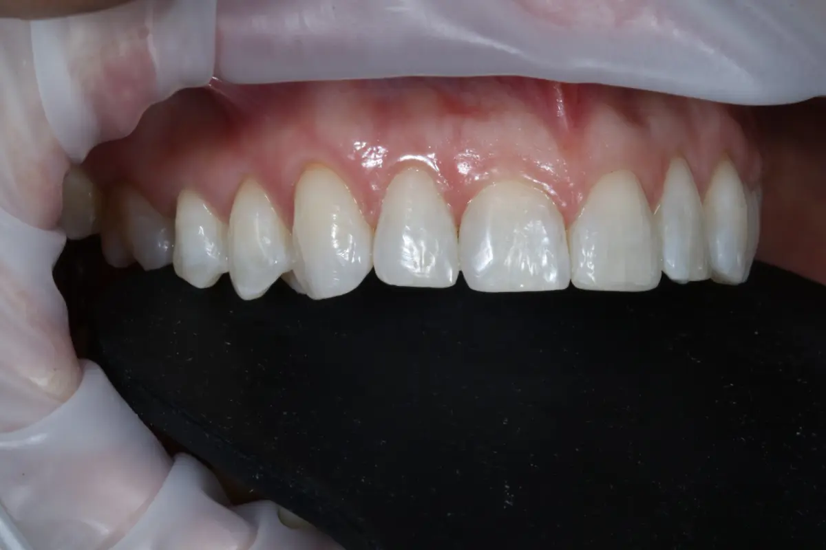
Tratamiento de Estética Dental

Cierre de diastemas

Después Después
Antes Antes

El cierre de diastemas permite eliminar los espacios entre los dientes mediante técnicas estéticas conservadoras, mejorando la armonía de la sonrisa y la función dental. Además, ayuda a evitar retenciones de alimentos y posibles problemas de encía asociados a estos espacios.

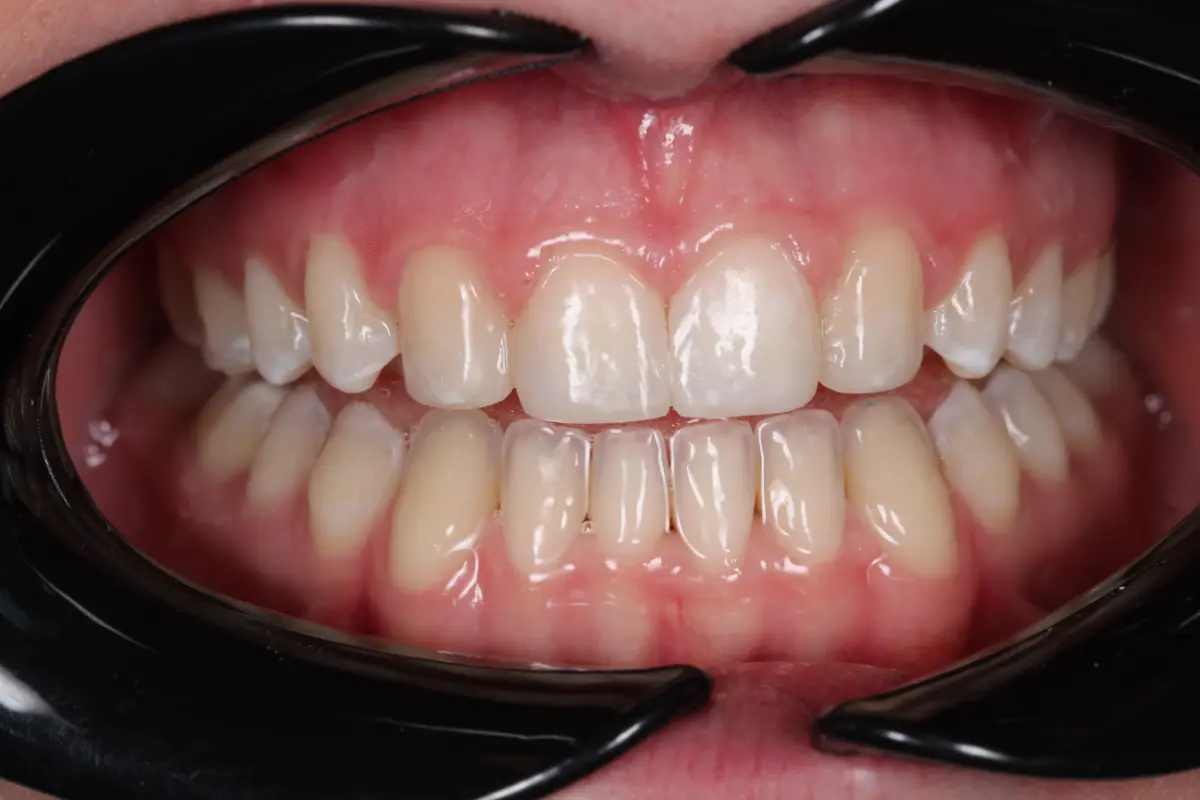
Tratamiento de Estética Dental

Diseño de sonrisas

Después Después
Antes Antes

El diseño de sonrisas permite planificar y transformar la estética dental mediante técnicas digitales avanzadas, logrando una sonrisa más armoniosa, equilibrada y adaptada al rostro del paciente. Además, ofrece una visualización previa del resultado final y una mejora integral en forma, color y proporción de los dientes.

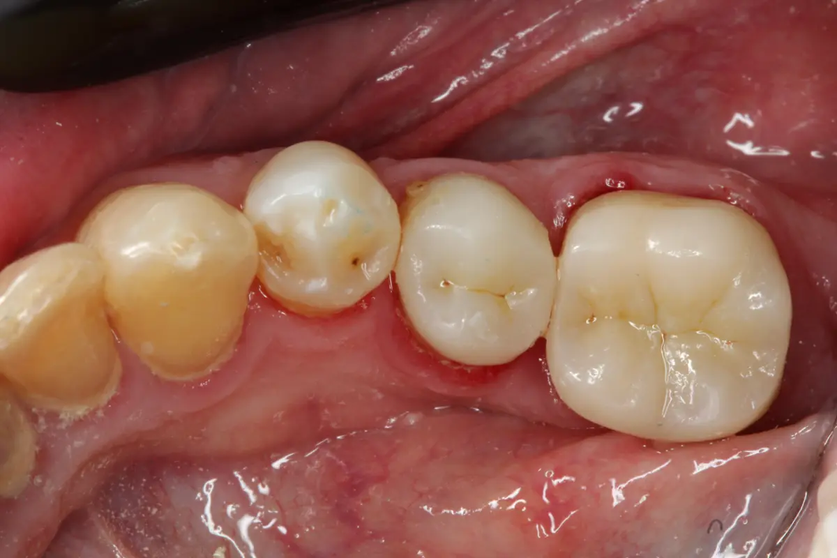
Tratamiento de Estética Dental

Incrustaciones cerámicas

Después Después
Antes Antes

Las incrustaciones cerámicas permiten restaurar dientes dañados conservando gran parte de la estructura natural, ofreciendo una solución estética, resistente y de larga duración. Además, se integran perfectamente en el diente, mejorando su función y evitando filtraciones o fracturas futuras.

1
Resumen de privacidad

Esta web utiliza cookies para que podamos ofrecerte la mejor experiencia de usuario posible. La información de las cookies se almacena en tu navegador y realiza funciones tales como reconocerte cuando vuelves a nuestra web o ayudar a nuestro equipo a comprender qué secciones de la web encuentras más interesantes y útiles.