SERVICIOS > ODONTOLOGÍA > Periodoncia

Periodoncia

La periodoncia es una especialidad de la odontología que se dedica a la prevención, diagnóstico y tratamiento de las enfermedades de las encías y los tejidos de soporte de los dientes.

Los signos más frecuentes con los que cursa esta enfermedad son la inflamación, enrojecimiento y sangrado de las encías al cepillarse, así como retracción de encías, movilidad o separación de dientes, dientes más largos, mal aliento

Es muy importante diagnosticar y tratar lo antes posible este tipo de patologías, ya que su evolución conlleva una destrucción del hueso que soporta los dientes. Por eso, es fundamental que se deje asesorar por la Dra. María Rodríguez Rodríguez si ha detectado alguno de estos signos.

Le atenderemos para valorar su caso sin compromiso en nuestra clínica en Carabanchel. 

+300 opiniones verificadas

Dra. María Rodríguez Rodríguez

Odontóloga General

Enfermedad periodontal

Cirugía mucogingival

Preguntas frecuentes

¿Cómo se detecta?

Una de las manifestaciones más frecuentes e iniciales es la gingivitis, un proceso inflamatorio de las encías que se muestran irritadas, inflamadas, enrojecidas y puede producir dolor y sangrado al cepillado con exudado purulento. Además, es habitual presentar halitosis o mal aliento.

Una gingivitis no tratada correctamente puede derivar en una patología periodontal que puede provocar la pérdida prematura de los dientes.

La causa más habitual de la gingivitis es una mala o deficiente higiene oral que no consigue eliminar o retirar todo el sarro.

¿Cómo evitarlo?

Una correcta higiene oral, la realización de una tartrectomía o una higiene dental periódica según las indicaciones del Dr. Tomás Hernán, junto con una meticulosa revisión de su salud bucodental, pueden ayudarte a prevenir esta patología.

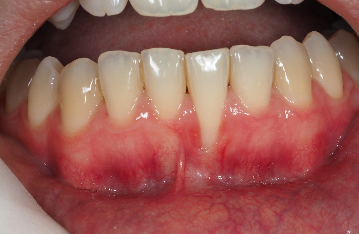
Caso de Periodoncia 1 | Tratamiento Gingivitis

Después Después
Antes Antes

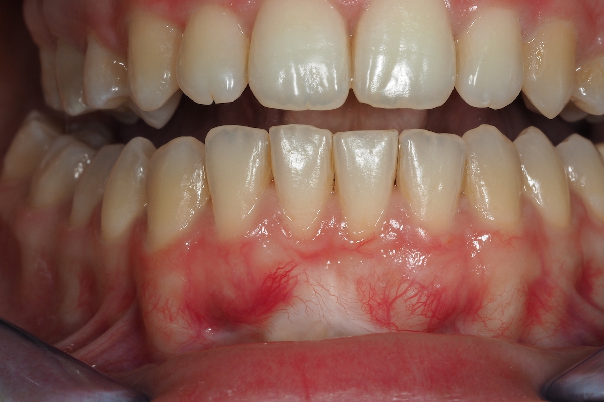
Caso de Periodoncia 1 | Tratamiento Gingivitis

Después Después
Antes Antes

Caso de Periodoncia 3 | Recesión de encía

Después Después
Antes Antes

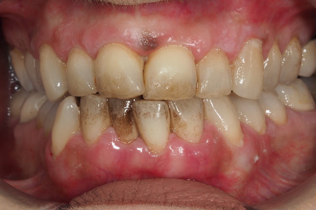
Caso de Periodoncia 4 | Periodontitis de fumador

Después Después
Antes Antes
1
Resumen de privacidad

Esta web utiliza cookies para que podamos ofrecerte la mejor experiencia de usuario posible. La información de las cookies se almacena en tu navegador y realiza funciones tales como reconocerte cuando vuelves a nuestra web o ayudar a nuestro equipo a comprender qué secciones de la web encuentras más interesantes y útiles.