Casos Clínicos
Periodoncia Carabanchel

En esta sección vamos a ir publicando algunos de los casos clínicos de Periodoncia Carabanchel, tratamientos realizados en nuestra clínica dental, pudiendo de esta forma ver algunos resultados, experiencias y mejoras que ya han disfrutado nuestros pacientes. Tu salud bucodental es importante para nosotros y, por eso, te proporcionamos atención odontológica de calidad, profesional y cercana.

 

Casos de Periodoncia

Tratamiento de periodoncia

Tratamiento Gingivitis

Después Después
Antes Antes

La placa puede causar la enfermedad gingival. Es una película de bacterias que continuamente se acumula alrededor, por todo el diente y entre una pieza dental y otra. 

Tratamiento de periodoncia

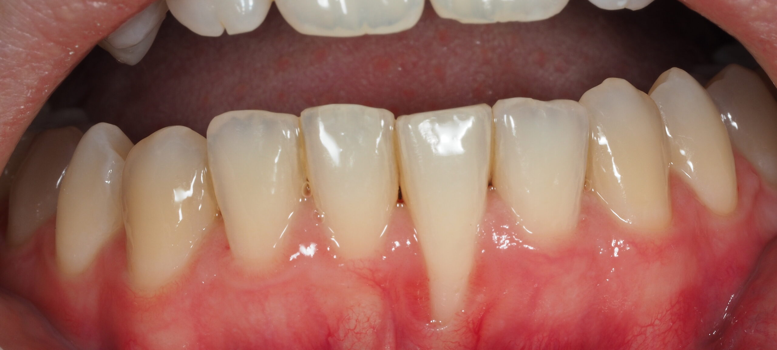
Recesión de Encía

Después Después
Antes Antes

La recesión gingival es un proceso en el que las encías se retraen, dejando al descubierto la raíz del diente y otras partes que anteriormente se encontraban ocultas bajo el tejido. 

Tratamiento de periodoncia

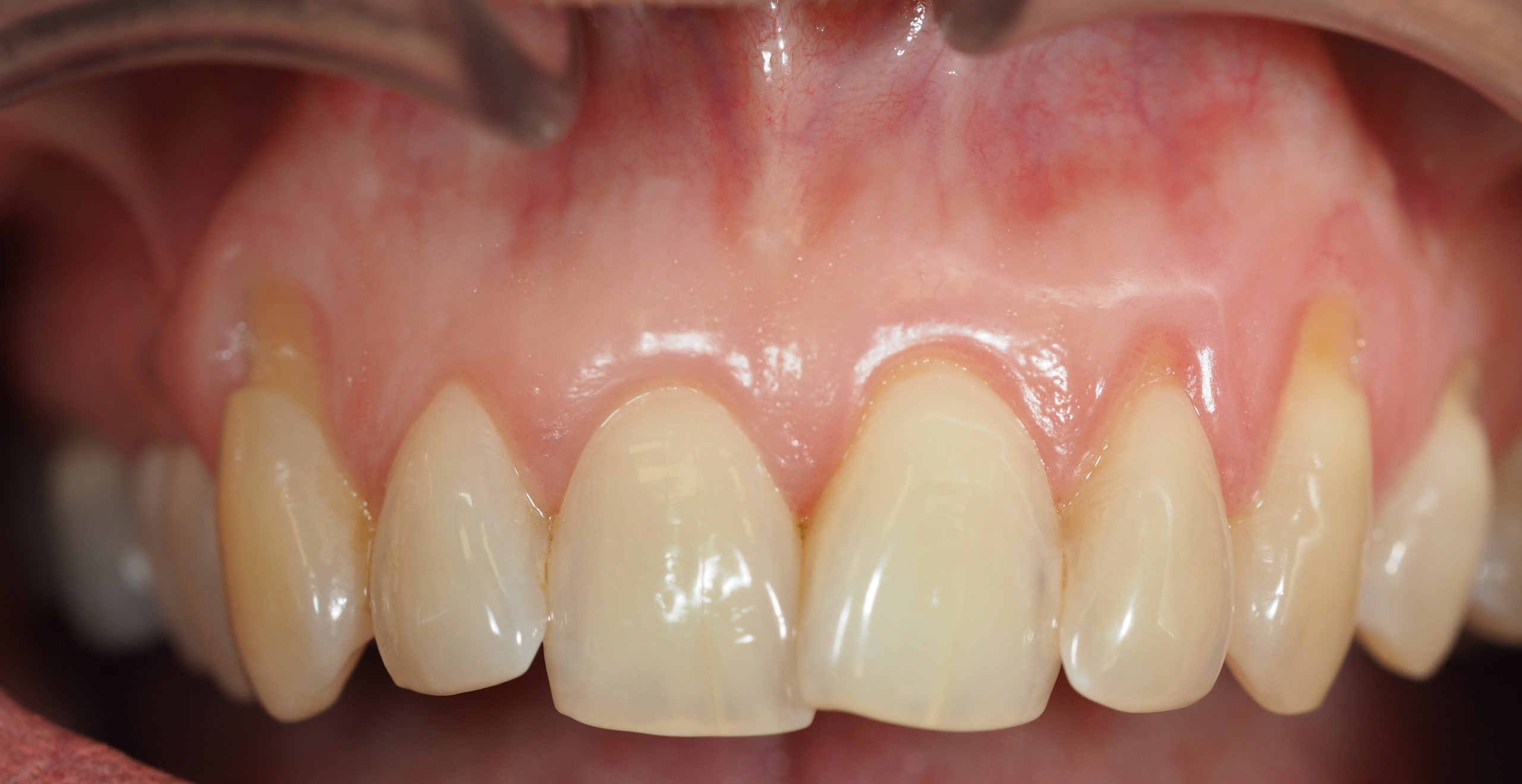
Periodontitis de Fumador

Después Después
Antes Antes

Los fumadores tienen mayores niveles de bacterias patógenas en el periodonto y presentan una disminución de las defensas de la encía frente al ataque bacteriano, lo que se asocia con un importante aumento en la susceptibilidad a sufrir una infección periodontal.

Tratamiento de periodoncia

Recesión de Encía

Después Después
Antes Antes

Una patología de origen multicausal que va más allá de los obvios inconvenientes estéticos –una sonrisa cadavérica de dientes alargados– porque padecerla incrementa la sensibilidad dental, haciendo que resulte casi imposible ingerir o beber ingredientes muy fríos o especialmente calientes.

1
Resumen de privacidad

Esta web utiliza cookies para que podamos ofrecerte la mejor experiencia de usuario posible. La información de las cookies se almacena en tu navegador y realiza funciones tales como reconocerte cuando vuelves a nuestra web o ayudar a nuestro equipo a comprender qué secciones de la web encuentras más interesantes y útiles.