Cirugía Dental en Carabanchel

Descubre casos clínicos reales de cirugía dental en Carabanchel realizados por el Dr. Tomás Hernán, cirujano bucal e implantólogo.

Tratamientos planificados con tecnología avanzada que muestran resultados funcionales y estéticos en implantes y cirugía oral. Experiencia, precisión y soluciones adaptadas a cada paciente.

Tratamiento de cirugía

IMPLANTOLOGÍA

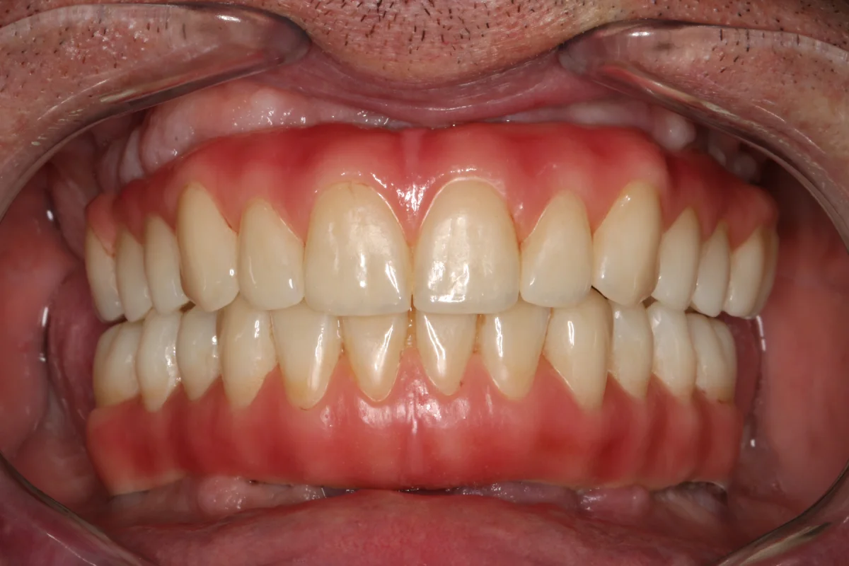
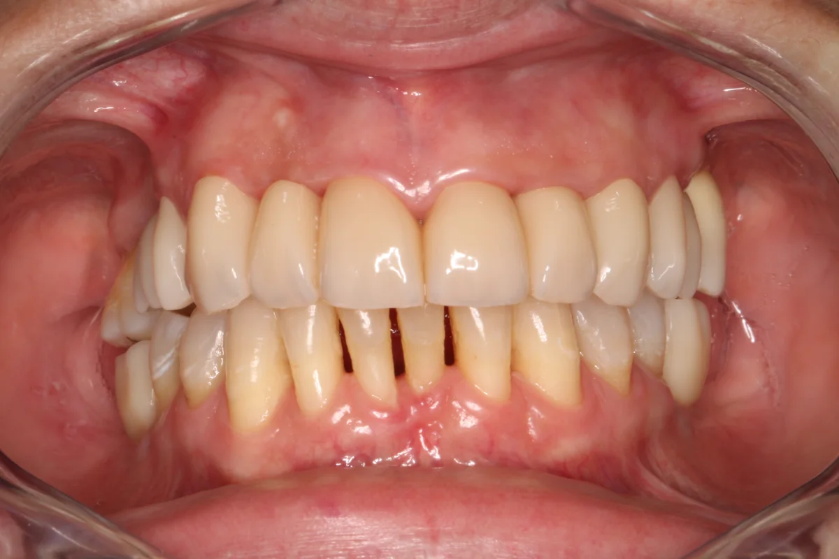
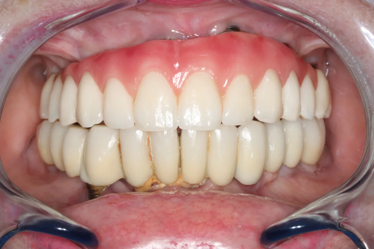
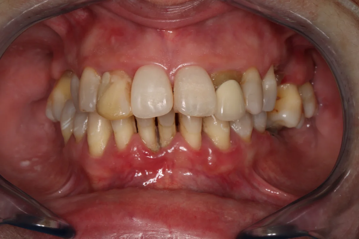
Siempre que el paciente reúna los requisitos clínicos adecuados, se irá con unas prótesis provisionales sobre los implantes que se colocarán en esa misma sesión.

Después Después
Antes Antes
Después Después
Antes Antes
Después Después
Antes Antes
Después Después
Antes Antes
Después Después
Antes Antes
Después Después
Antes Antes

Tratamiento de Cirugía

Elevación del seno maxilar

La elevación de seno maxilar permite aumentar el hueso en la zona posterior del maxilar superior cuando no hay suficiente altura para colocar implantes. Al elevar el suelo del seno maxilar y añadir hueso autólogo o xenoinjerto, se consigue una base ósea sólida que garantiza la estabilidad y el éxito de los implantes dentales.

Después Después
Antes Antes
1
Resumen de privacidad

Esta web utiliza cookies para que podamos ofrecerte la mejor experiencia de usuario posible. La información de las cookies se almacena en tu navegador y realiza funciones tales como reconocerte cuando vuelves a nuestra web o ayudar a nuestro equipo a comprender qué secciones de la web encuentras más interesantes y útiles.