Calle de Salvador Allende, 7 28054 Madrid

Autobús 35, 135, 118, E1 Metro: La Peseta (linea 11)

qué es la enfermedad periodontal

¿Qúe es la Enfermedad Periodontal?

La enfermedad periodontal es una patología muy frecuente en la población que afecta a los tejidos que soportan nuestros dientes, principalmente al hueso y a la encía. Mucha gente se pregunta qué es la enfermedad Periodontal.

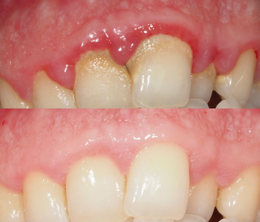
El causante de la enfermedad son las bacterias presentes en la placa dental y en el sarro. Estas desencadenan en fases tempranas una inflamación en las encías que se muestra como enrojecimiento y sangrado de las mismas.Es lo que conocemos como Gingivitis.
En caso de no tratarse la Gingivitis, la inflamación se agrava causando una pérdida del hueso que soporta nuestros dientes. Es lo que conocemos como Periodontitis. Dicha pérdida de hueso no suele causar dolor por lo que la enfermedad avanza de manera silenciosa.
El tratamiento inicial en ambos casos consiste en una terapia periodontal básica que elimine los depósitos de sarro y placa bacteriana que están causando la inflamación. Con ello conseguimos detener la pérdida ósea, no recuperar el hueso perdido.

Pronóstico

Por ello, cuando la enfermedad es leve o moderada, el pronóstico de los dientes tras el tratamiento es bueno. Pero cuando la enfermedad ya es avanzada y la pérdida de hueso es severa, los dientes empiezan a tener movilidad llegando a perderse por no tener hueso de soporte suficiente.
Detectar la enfermedad en fases tempranas es crucial para poder tratar los dientes y evitar su pérdida.
Aunque el origen de la enfermedad reside en la placa bacteriana, hay otros factores que nos hacen más susceptibles a tener esta enfermedad y son la diabetes, las enfermedades cardiovasculares, la genética, el tabaco y el estrés.
Si has observado sangrado en tus encías, retracción de las mismas o movilidad en alguna de tus piezas no dudes en consultarnos. Un estudio periodontal rápido nos permitirá detectar en qué fase de la enfermedad te encuentras y cuál es el tratamiento indicado.¿Cómo gestiono mi cita para valorar mi caso de blanqueamiento dental en Madrid?

Para concertar una cita para valorar tu caso de enfermedad periodontal en Madrid con el Dr. Luis Zamalloa, no tiene más que llamarnos al teléfono 915113521 y le asignaremos día y hora para poder ayudarle.

Clínica Dental en Carabanchel +34 915 113 521.

Clínica Dental Carabanchel | Dr. Tomás Hernán
Resumen de privacidad

Esta web utiliza cookies para que podamos ofrecerte la mejor experiencia de usuario posible. La información de las cookies se almacena en tu navegador y realiza funciones tales como reconocerte cuando vuelves a nuestra web o ayudar a nuestro equipo a comprender qué secciones de la web encuentras más interesantes y útiles.