Calle de Salvador Allende, 7 28054 Madrid

Autobús 35, 135, 118, E1 Metro: La Peseta (linea 11)

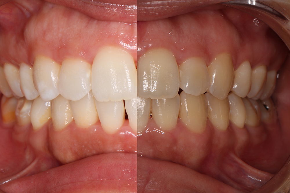
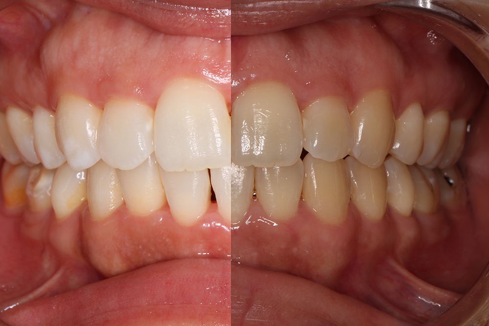
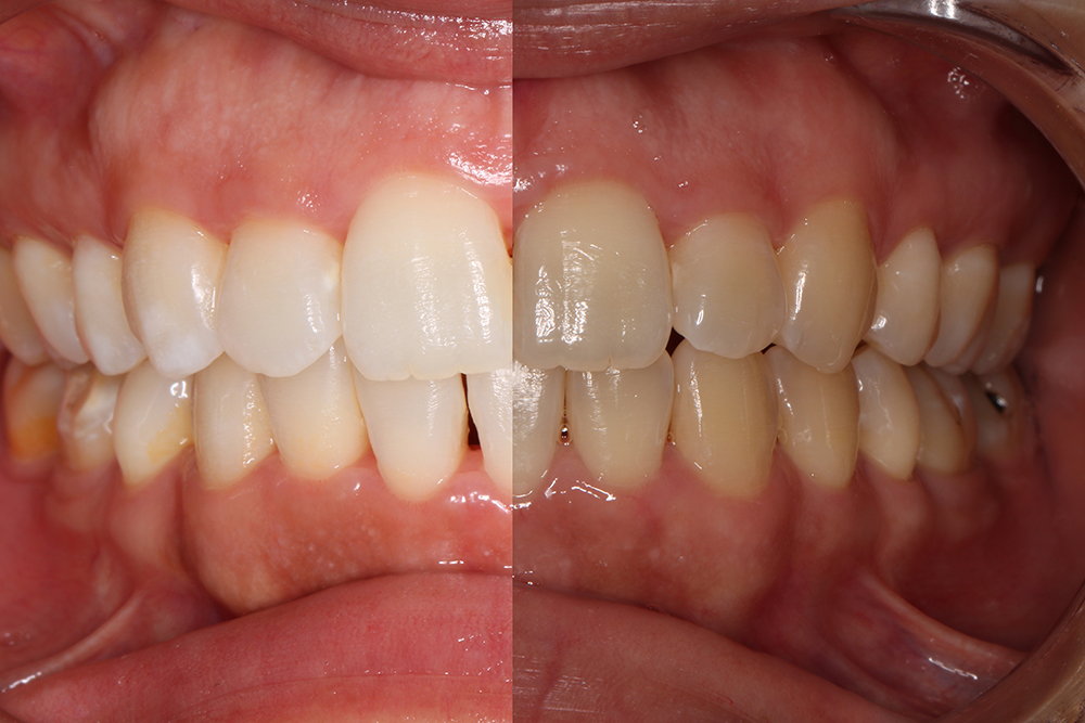
Todo lo que debemos saber sobre el Blanqueamiento Dental

Todo lo que debemos saber sobre el Blanqueamiento Dental

Deja una respuesta

Tu dirección de correo electrónico no será publicada. Los campos obligatorios están marcados con *

Clínica Dental Carabanchel | Dr. Tomás Hernán
Resumen de privacidad

Esta web utiliza cookies para que podamos ofrecerte la mejor experiencia de usuario posible. La información de las cookies se almacena en tu navegador y realiza funciones tales como reconocerte cuando vuelves a nuestra web o ayudar a nuestro equipo a comprender qué secciones de la web encuentras más interesantes y útiles.