Calle de Salvador Allende, 7 28054 Madrid

Autobús 35, 135, 118, E1 Metro: La Peseta (linea 11)

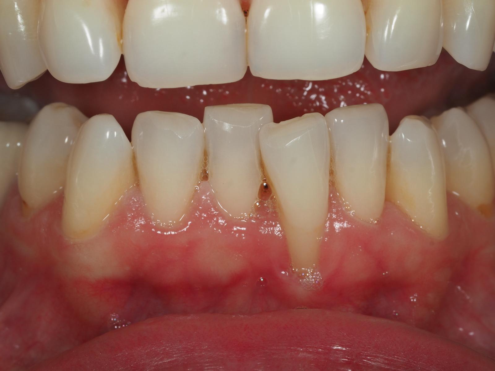
recesión gingival madrid

Deja una respuesta

Tu dirección de correo electrónico no será publicada. Los campos obligatorios están marcados con *

Clínica Dental Carabanchel | Dr. Tomás Hernán
Resumen de privacidad

Esta web utiliza cookies para que podamos ofrecerte la mejor experiencia de usuario posible. La información de las cookies se almacena en tu navegador y realiza funciones tales como reconocerte cuando vuelves a nuestra web o ayudar a nuestro equipo a comprender qué secciones de la web encuentras más interesantes y útiles.